Adaeze's Lingering Concern
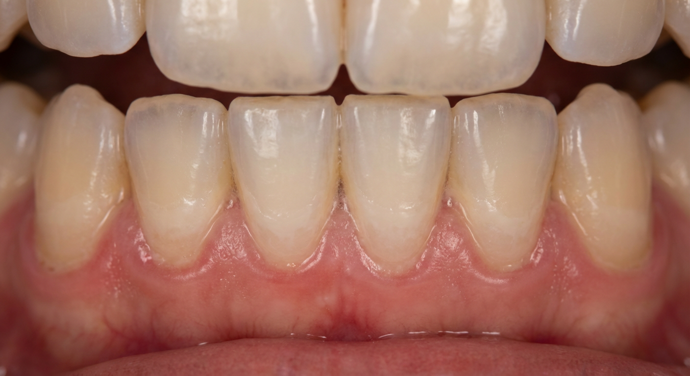
Adaeze, a busy mother of two in Jenison, Michigan, prided herself on her daily routines – morning jogs, packing healthy lunches, and ensuring homework was done. Yet, lately, a subtle unease had crept into her own personal care. She'd noticed her gums seemed a little tender when she brushed, a sensation she'd initially dismissed as brushing too hard or using a new toothbrush.
One evening, while flossing after dinner, she saw it: a faint trace of pink in the rinse water. It wasn’t much, but it was enough to catch her attention. Her regular dental check-ups were always a priority, but this particular symptom felt different, a persistent whisper rather than a shout.
She thought back to her last appointment at Boechenstein & Middleton Family Dentistry. Dr. Middleton had always emphasized the importance of healthy gums, mentioning terms like "gingival health" and "early detection." Now, those words echoed in her mind, prompting a moment of genuine concern about what these subtle changes might mean.















